Kategori: Teknoloji
Ay yolculuğu hazırlıkları sürüyor: Artemis 2 hangi aşam...
NASA’nın onlarca yıl sonra Ay’a göndereceği ilk insanlı görev olan Artemis 2, planlanan 6 Şubat fırlatma tarihine yaklaşırken yoğu...
Gemini destekli Siri için tarih belli oldu
Apple, uzun süredir beklenen yeni Siri’yi sonunda sahneye çıkarmaya hazırlanıyor. Ünlü Apple analisti Mark Gurman’a göre şirket, Ş...
Teknoloji çağında insan beyni
İnsan, biyo-psiko sosyal bir varlık. İnsan; taştan, demirden yapılmış bir varlık değil. Yüz trilyonluk olasılıklı hücrelere sahip ...
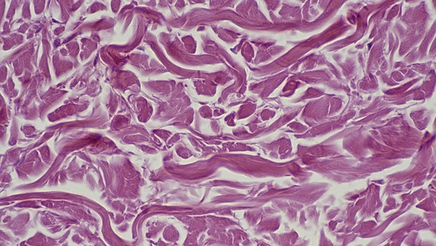
Bilim insanları yaşlı hücreleri gençleştirmenin yolunu ...
Yaş aldıkça vücudun “tamir ekibi” yavaşlıyor. Yaralar daha geç iyileşiyor, dokular kendini eskisi kadar hızlı yenileyemiyor; karac...
James Webb ‘Sauron’un Gözü’nü görüntüledi
Güneş bir gün yakıtını tüketecek ve bugün bize hayat veren o “sakin” yıldız, kozmik ölçekte kısa sayılabilecek bir final sahnesine...
TEKNOFEST’te savaşan İHA’lar büyük mücadeleye hazırlanı...
TEKNOFEST, 2026, savunma teknolojilerinin geleceğine ışık tutacak iddialı bir yarışmaya ev sahipliği yapmaya hazırlanıyor. BAYKAR ...
Yeni bir ilaç vücuttaki kötü yağları yüzde 40 azaltıyor
Yemekten sonra vücut, fazla kaloriyi “trigliserit” denen yağ moleküllerine çevirip depoluyor. Ama bu yağ kanda fazla yükselirse “h...
Mini-nükleer santraller yolda
Avrupa’da geliştirilen yeni küçük modüler reaktör (SMR) tasarımları için uluslararası denetleyici kurumlar daha sık aynı masaya ot...
Deprem sensörleri uzaydan düşen çöpleri algılayabiliyor
Kontrolsüz şekilde atmosfere giren uzay çöpleri, yere düşmeden önce “sonik patlama” benzeri güçlü bir akustik iz bırakıyor. Bilim ...
Antik hazinede Dünya dışı metal bulundu
İspanya’da Bronz Çağı’ndan kalma ünlü Villena Hazinesi yeniden gündemde. Çünkü hazinedeki ışıltılı altınların arasında görece “sön...
Bu kara delik fizik kurallarını alt üst ediyor
Japonya’da Waseda Üniversitesi ve Tohoku Üniversitesi’nden gökbilimciler, evren henüz 1,5 milyar yaşından küçükken bile “inanılmaz...
TEKNOFEST Roket Yarışması 2026’da başvurular 20 Şubat t...
Milyonları aşan ödül, 11 farklı kategoride kurgulanan rekabet yapısı ve gençlere sunduğu benzersiz mühendislik deneyimiyle TEKNOFE...
